Az állatorvoslás
nem mindennapi oldala

Dr. Seregi Antal

A mellékvese daganatai

A mellékvesék a vese körüli zsírszövetben található szervek, melyek kéregállományában főként a szervezet folyadékháztartás egyensúlyának fenntartásáért felelős mineralo- és glükokortikoid hormonok, velőállományában pedig az adrenalin és a noradrenalin termelődik.Kóros esetben a kéregállományból a vérkeringésbe jutó nagy mennyiségű hormon a folyadékháztartás egyen súlyának felborulását eredményezi. Ezt a betegséget Cushing-syndroma-nak nevezzük, melynek központi és perifériás formáját különítjük el.

A Cushing-syndroma leggyakoribb perifériás formája a kéregállományból kiinduló, glükokortikoidokat termelő daganatos elváltozás.A klinikai tüneteket a glükokortikoid túlsúly miatt kialakult kép uralja: nagy mennyiségű folyadék ivása, következményesen nagy mennyiségű vizelet ürítése (polydypsia, polyuria), elhízás, a bőr elvékonyodása, korpázása, másodlagosan bakteriális gennyes gyulladás kialakulása a szervezet bármely részén (pl.: gennyes bőrgyulladás, alsó húgyuti gyulladások).

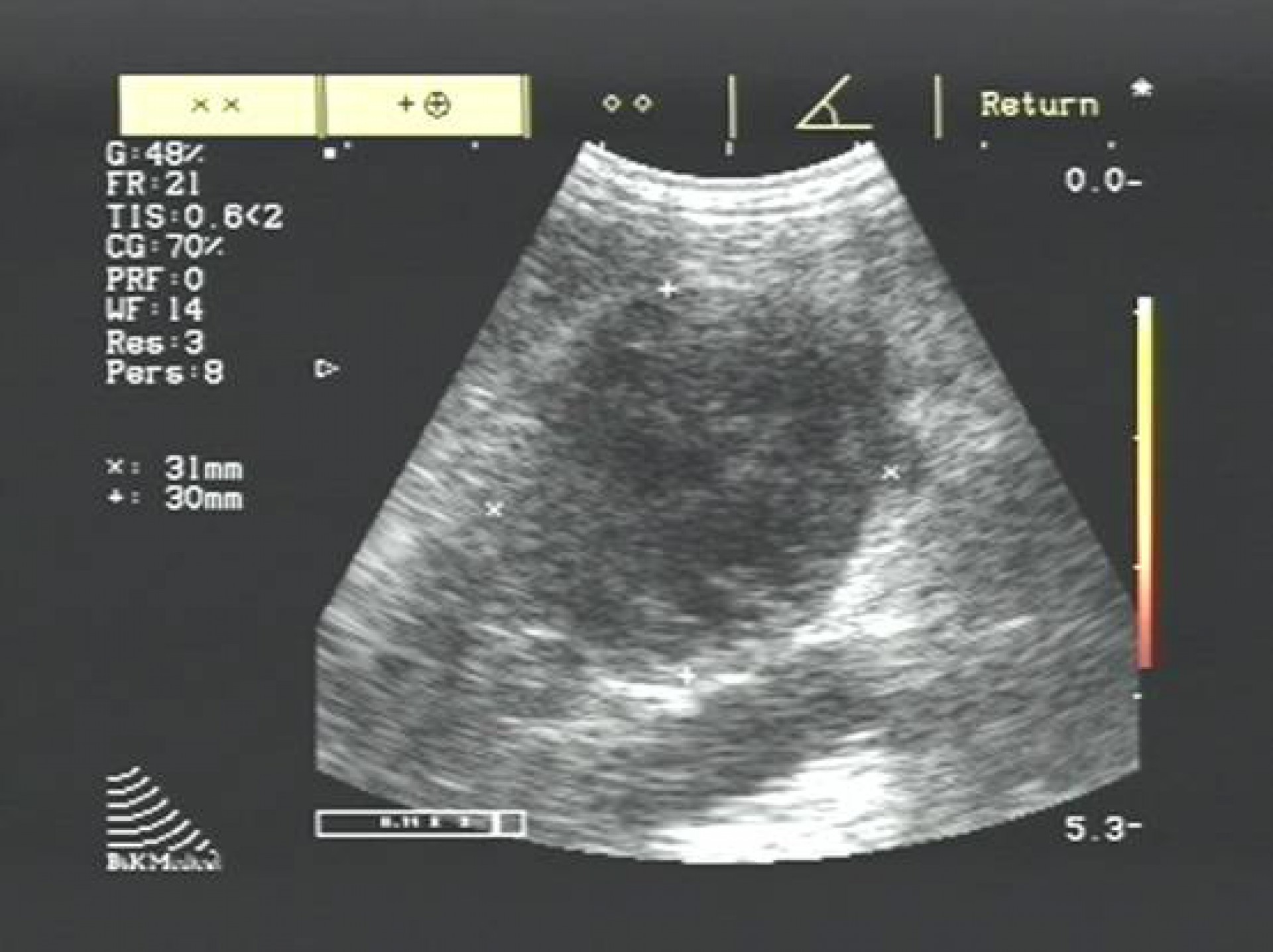
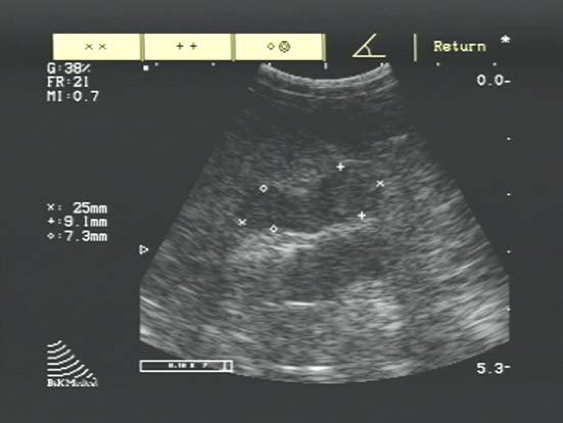
A betegség diagnosztizálása hasüregi ultrahangos vizsgálattal és vérvizsgálattal történik, mely során különös figyelmet kell fordítani a perifériás és centralis forma elkülönítésére.
Perifériás forma esetén amennyiben megbizonyosodtunk róla, hogy melyik oldali mellékvese elváltozása okozza a klinikai tüneteket, a betegség a daganatos mellékvese műtéti eltávolításával gyógyítható.

A műtét során az állatot az egészséges oldalára fektetjük és a hasüregbe bordaív mentén végzett metszéssel jutunk be.
A daganatos mellékvesét az azonos oldali vese előtti területen a bordaív alatt találjuk meg.
A mellékvese felett futó kisebb eret lekötjük és az elváltozott szervet a hasüregből eltávolítjuk. A jobb oldali mellékvese daganatos elváltozása esetén különös figyelmet kell fordítani arra, hogy az eltávolítandó szerv közvetlenül a hátulsó hasi vénán fekszik. Egyes esetben a daganat a hátulsó hasi vénába is besarjadzik, jelentősen csökkentve eltávolításának komplikációmentes lehetőségét.

A műtétet követően a hasfali sebet több rétegben zárjuk és az műtétet követő időszakban a hirtelen kialakuló glükokortikoid hiányt szájon át adható tablettákkal, folyamatosan csökkenő dózisban - az ellenoldali mellékvesekéreg normál funkciójának visszaállításáig - a normális szintre állítjuk be.
A műtét leggyakoribb szövődménye a régóta fennálló glükokortikoid túlsúly miatt kialakult immunszuppresszív állapot és ennek következtében kialakult szeptikus szövődmény. 




Ha tetszett a cikk, oszd meg másokkal is:


Kiemelt cikkek

Lépcsavarodás

Kedveltem Brandont…Egyike volt azon shar-pei-eknek, akik a rendelőben is barátságosa...

A szájüreg daganatai

A szájüregben előforduló daganatok a daganatos betegségek gyakoriságát vizsgáló statiszt...

Dunyha

Mindig kedveltem a nem mindennapi kutyaneveket… Dunyhát, a pajkos magyar vizsla lányt...

Legfrissebb cikkek

A mellékvese daganatai

A mellékvesék a vese körüli zsírszövetben találhat&oac...

Gerinctörések

A gerinctörések kialakulását minden esetben valamilyen súlyos trauma előzi meg. Az esetek d...

Lépcsavarodás

Kedveltem Brandont…Egyike volt azon shar-pei-eknek, akik a rendelőben is barátságosa...